
X-Ray adalah satu kaedah pengimejan yang menggunakan radiasi untuk menghasilkan imej struktur dalam badan, terutamanya tulang. Ia adalah prosedur yang cepat dan tidak invasif yang membantu dalam diagnosis pelbagai keadaan perubatan.
X-Ray adalah alat utama untuk mengesan patah tulang, kecederaan sendi, dan penyakit seperti arthritis.
X-Ray dada digunakan untuk memeriksa keadaan paru-paru, jantung, dan struktur lain dalam kawasan dada, termasuk mengesan pneumonia, kegagalan jantung, dan ketumbuhan.
Dalam sesetengah kes, X-Ray boleh digunakan untuk menilai keadaan abdomen, seperti kehadiran gas atau cecair yang tidak normal.
Lihat di bawah pakej-pakej X-Ray yang disediakan di U.N.I Klinik Pulau Gadong, Melaka.

Sinar-X untuk mengesan masalah paru-paru dan jantung.

Sinar-X untuk memeriksa struktur tulang muka dan hidung.

Sinar-X untuk menilai organ dalam perut.

Digunakan untuk mengenal pasti masalah pada tulang belakang.

Sinar-X untuk menilai keadaan tulang punggung.

Sinar-X pada bahu untuk melihat kecederaan atau gangguan.

Digunakan untuk menilai tulang lengan bagi kecederaan atau kelainan.

Sinar-X untuk memeriksa keadaan sendi siku.

Pemeriksaan sinar-X pada tulang lengan bawah.

Digunakan untuk mengesan masalah pada pergelangan tangan.

Sinar-X untuk menilai tulang belikat sekiranya berlaku kecederaan.

Digunakan untuk memeriksa tulang selangka.

Pemeriksaan sinar-X untuk mengenal pasti kecederaan pada tulang jari.

Digunakan untuk menilai struktur tulang tangan.

Sinar-X untuk memeriksa keadaan sendi pinggul.

Pemeriksaan sinar-X untuk menilai tulang paha.

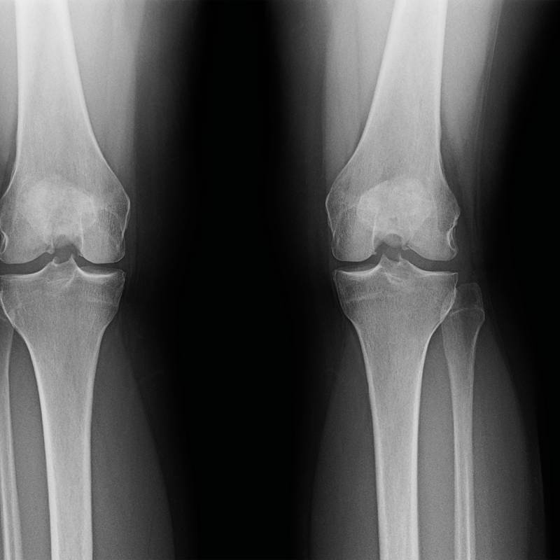
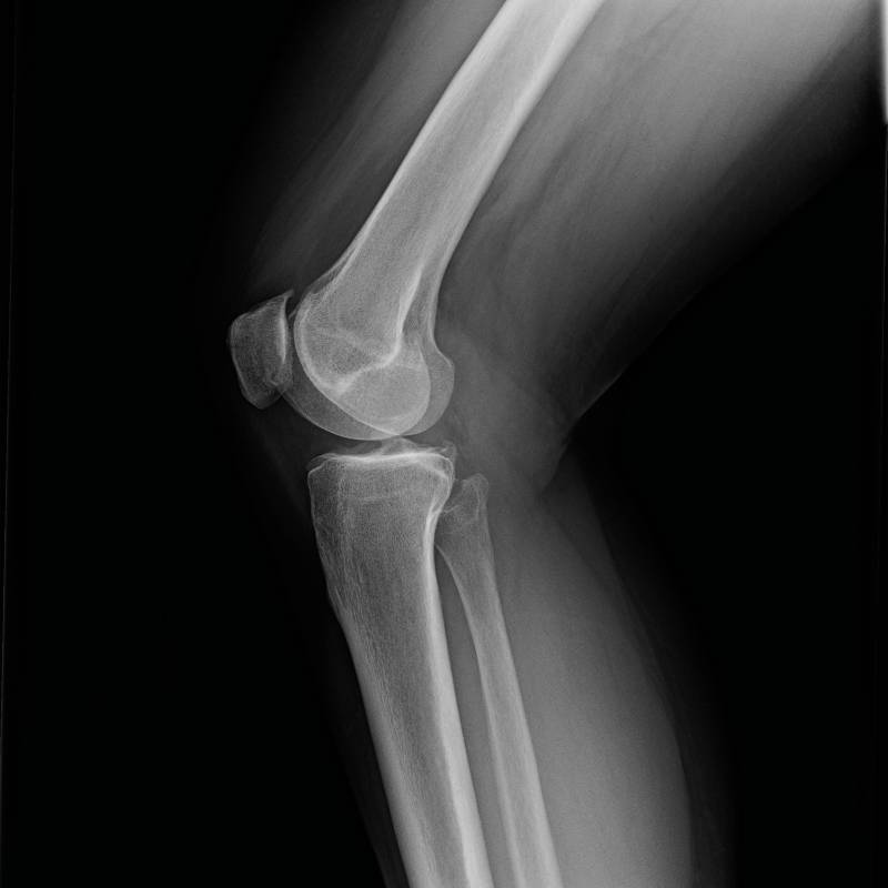
Digunakan untuk mengesan masalah pada sendi lutut.

Pemeriksaan sinar-X pada tulang keting.

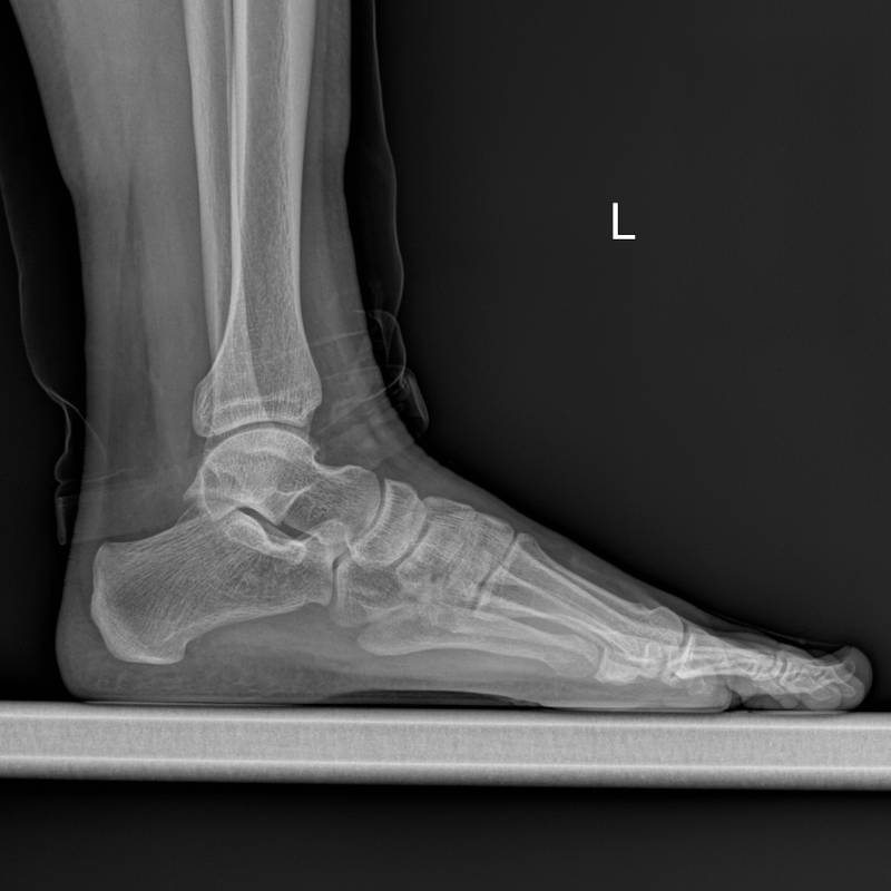
Sinar-X untuk memeriksa kecederaan pada pergelangan kaki.

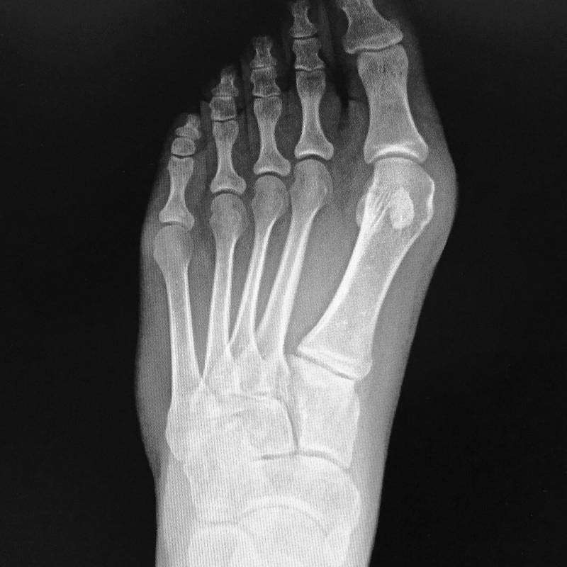
Digunakan untuk menilai struktur tulang kaki.

Pemeriksaan sinar-X pada tulang tumit untuk mengesan kecederaan.

Sinar-X untuk menilai kecederaan atau masalah pada tengkorak.
Lihat waktu operasi bagi U.N.I Klinik Pulau Gadong seperti yang disertakan di jadual ini. Anda juga boleh menghubungi kami sekiranya terdapat sebarang persoalan mengenai waktu operasi dan sebagainya.
Hubungi kami untuk pertanyaan lanjut. Sekiranya anda ingin membuat temu janji, anda boleh mengisi info anda di borang yang disediakan di bawah atau terus menghubungi kami melalui butang WhatsApp yang disediakan.
Untuk temu janji anda, anda boleh mengisi maklumat anda di borang yang disediakan atau hubungi kami melalui WhatsApp di butang di bawah.
Klinik Pilihan Anda dan Keluarga Anda di Melaka. Klinik pilihan utama di Melaka untuk penjagaan kesihatan menyeluruh.
Copyright © 2024 U.N.I Klinik Pulau Gadong By Dfairuz Healthcare Sdn. Bhd. All Rights Reserved.